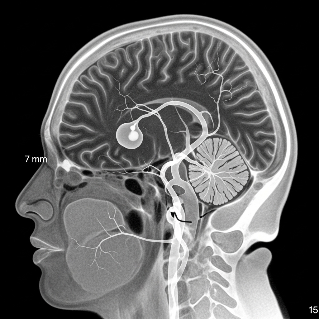
A cerebral aneurysm is a weak spot in a brain blood vessel that bulges like a small balloon. Most aneurysms are silent and cause no symptoms, but the danger arises if the aneurysm ruptures, causing bleeding in the brain. Symptoms of a rupture can include a sudden severe headache, nausea, vomiting, vision problems, or loss of consciousness, making it a medical emergency. Not all aneurysms burst; some remain small and harmless, while others grow over time. Diagnosis is usually made through brain imaging, often performed for other reasons. Treatment depends on the aneurysm’s size and location and may include regular monitoring or interventions to prevent rupture. Endovascular coiling is a minimally invasive procedure that fills the aneurysm with coils to block blood flow, while flow diversion devices redirect blood away from complex aneurysms to promote healing. In emergencies, coiling or surgical clipping is performed alongside intensive care to prevent re-bleeding and support recovery. Early detection and proper care are essential.
Cerebral Aneurysm
- Early Detection and Stroke Prevention
- Expert Neurophysician and Interventional Care
- Advanced Neurological Diagnosis and Evaluation
- Minimally Invasive Endovascular Treatment Options
- Safe, Precise, Image-Guided Procedures
- State-of-the-Art Imaging and Technology
- Comprehensive Care and Follow-Up Support
- Personalized Patient-Focused Treatment Approach
Expert Care Starts Here
Reach out to Dr. Qasim Bashir’s clinic for appointments, consultations, or any questions regarding neurological care. Our team is ready to assist you promptly.
Phone
+(92) 345-8422505
appointment@qasimbashir.com
Location
BNI Bashir NeuroSpine Institute 18 Jail Rd,Shadman 1, Lahore,